Zahnfleischbehandlung: Diagnostik
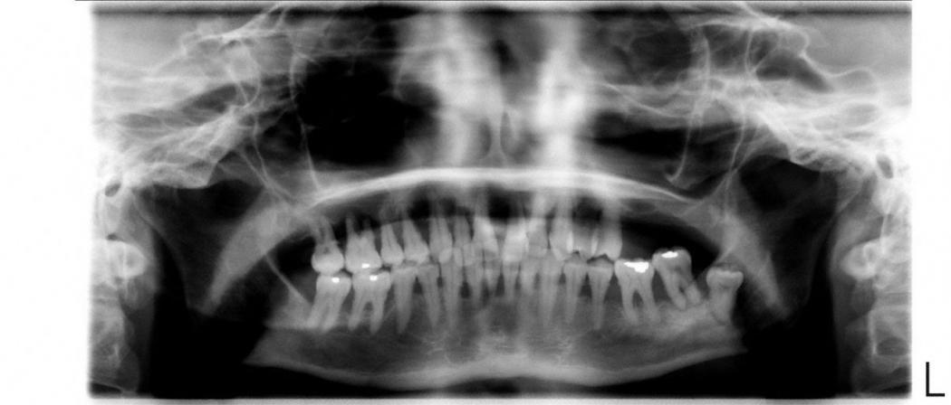
Eine initiale Diagnostik kann eine Fotodokumentation, die Erstellung diverser Indizes (z. B. Plaqueindex, API) und Röntgenaufnahmen beinhalten. Bei den Röntgenaufnahmen wird eine Panoramaaufnahme angefertigt. Von nicht vital reagierenden und wurzelgefüllten sowie nicht auf der Aufnahme ausreichend erkennbaren Zähnen werden Zahnfilme erstellt. Die Röntgendiagnostik gibt Auskunft über Zustand, Form und Beschaffenheit von Zahnhartsubstanz, Alveolenknochen, Desmodontalspalt und Restaurationen.
Nach Erhebung eines Parodontalstatus kann eine zusätzliche spezielle Diagnostik notwendig sein. Heute gibt es im Bereich der Mikrobiologie und Immunologie durch verbesserte Nachweismethoden die Möglichkeit, die klinische Diagnostik zu ergänzen. Diese Verfahren konzentrieren sich auf den Nachweis mutmaßlicher parodontopathogener Bakterien.
Vor Beginn einer Parodontalbehandlung ist eine Befunderhebung des Zahnhalteapparates (Parodontium) nötig. Da die radiologische Bewertung eher einen überprüfenden Charakter hat, sind die Sondierungswerte und die Beurteilung des Parodontiums sichere Parameter für die Diagnostik.
Die Zahnfleischtaschen werden gemessen, die Blutung wird beobachtet. Bei Code 3 und Code 4 wird eine Parodontalbehandlung notwendig.
