Kieferorthopädie: Pflege + Recall
Das A und O für eine erfolgreiche, kieferorthopädische Behandlung ist die regelmäßige Kontrolle durch den Zahnarzt. Gerne erinnern wir Sie an Ihren Termin.
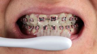
Während der kieferorthopädischen Behandlung muss die Mundhygiene besonders sorgfältig durchgeführt werden. Unser Prophylaxeteam steht Ihnen mit Rat und Tat zur Seite.
Bei Zähnen mit Brackets besonders wichtig...
denn festsitzende Behandlungsmittel bieten Zahnbelägen (Plaque) vermehrte Anlagerung nicht unter, sondern an den Rändern von Bändern und Brackets.
Deshalb müssen die Zahnflächen einmal oberhalb der Brackets einschließlich des Zahnfleischsaumes und danach unterhalb zur Schneidekante bzw. zu den Zahnspitzen hin intensiv geputzt werden.
Zahnzwischenraum-Bürstchen säubern Zahnflächen und Zwischenräume, die hinter den orthodontischen Bögen liegen, von Speiseresten und Plaque. Zahninnenflächen werden wie üblich geputzt.



